آسیب به مینا دندان یکی از نگرانیهای مهم در رابطه با روشهای زیبایی دندان مانند بلیچینگ محسوب میشود. بلیچینگ دندان یکی از روشهای محبوب برای روشنتر کردن رنگ دندانها است که به کمک مواد خاصی لکهها و تیرگیهای دندان را از بین میبرد. در حالی که این روش تاثیر چشمگیری در زیبایی لبخند دارد، نگرانیهایی درباره سلامت مینای دندان نیز مطرح میشود. در این مقاله به طور کامل بررسی خواهیم کرد که آیا بلیچینگ دندان باعث آسیب به مینا دندان میشود یا خیر.
بلیچینگ دندان چیست؟
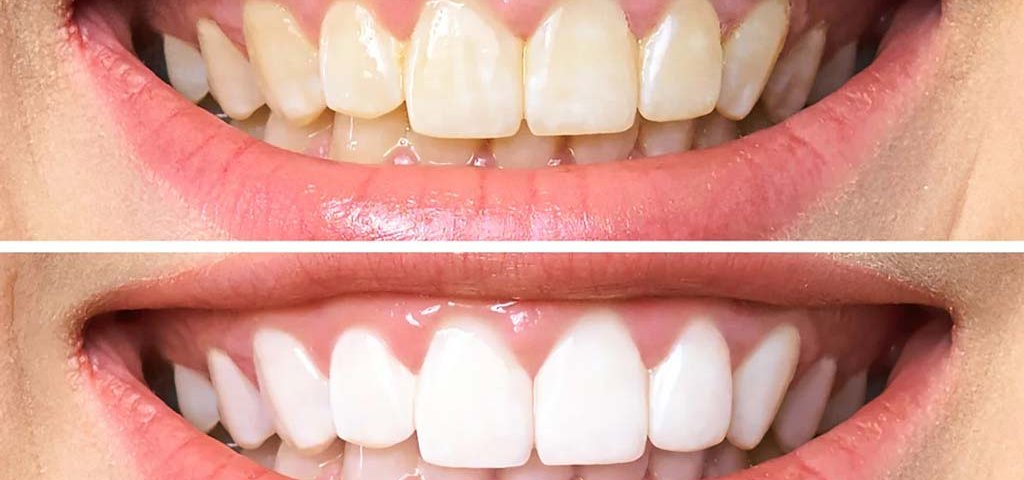
بلیچینگ دندان فرآیندی است که در آن رنگ دندانها با استفاده از مواد شیمیایی خاص روشنتر میشود. این روش با هدف حذف لکهها، تیرگیها و تغییر رنگهای سطحی دندانها انجام میشود و تاثیر زیادی بر زیبایی لبخند دارد. بلیچینگ میتواند هم در مطب دندانپزشکی و هم در منزل با استفاده از کیتهای خانگی انجام شود.
در این روش، معمولاً از موادی مانند پراکسید هیدروژن یا کاربامید پراکسید به عنوان عامل فعال سفیدکننده استفاده میشود. این مواد به مینای دندان نفوذ میکنند و رنگدانههای ایجاد شده در لایههای سطحی را تجزیه میکنند، بدون آنکه ساختار طبیعی دندانها را تغییر دهند.
تاثیر بلیچینگ بر مینای دندان
مینای دندان لایهای سخت و محافظتی است که نقش مهمی در حفظ سلامت دندانها دارد. بسیاری از افراد نگران این موضوع هستند که بلیچینگ دندان بتواند این لایه حساس را تحت تاثیر قرار دهد. در ادامه، تاثیرات احتمالی بلیچینگ بر مینای دندان را به طور کامل بررسی میکنیم.
آسیبهای احتمالی به مینا
مطالعات علمی نشان دادهاند که بلیچینگ دندان میتواند برخی تاثیرات موقتی بر مینای دندان داشته باشد. آگاهی از این آسیبهای احتمالی کمک میکند تا با مراقبت صحیح، این عوارض را به حداقل رساند. در ادامه مهمترین آسیبهای احتمالی به مینا پس از بلیچینگ را معرفی میکنیم:
- افزایش حساسیت دندانها: پس از بلیچینگ، برخی افراد حساسیت بیشتری نسبت به مواد سرد و گرم تجربه میکنند. این حساسیت معمولا موقتی است و طی چند روز یا چند هفته کاهش مییابد.
- خشکی مینای دندان: مواد بلیچینگ میتوانند باعث کاهش موقت رطوبت در سطح مینای دندان شوند. این خشکی معمولاً باعث میشود دندانها کمی زبرتر به نظر برسند.
- تغییرات موقت در ساختار معدنی مینا: فرآیند بلیچینگ ممکن است منجر به تغییرات جزئی در مواد معدنی مینای دندان شود. این تغییرات معمولاً بازگشتپذیر هستند و با استفاده از خمیردندانهای فلورایددار میتوان بازسازی طبیعی را تسریع کرد.

آیا بلیچینگ می تواند آسیبهای احتمالی به مینا دندان شود؟
آیا بلیچینگ میتواند مینای دندان را از بین ببرد؟
بلیچینگ دندان در صورتی که به درستی انجام شود، باعث از بین رفتن مینای دندان نمیشود. دندانپزشکان با انتخاب غلظت مناسب مواد بلیچینگ و کنترل مدت زمان تماس آنها با دندانها، از آسیب به ساختار مینا جلوگیری میکنند.
اگر شخصی بدون مشورت با دندانپزشک، بلیچینگ را به دفعات زیاد یا با غلظتهای بالا انجام دهد، احتمال آسیب دیدگی یا تضعیف مینای دندان افزایش پیدا میکند. به همین دلیل، انجام این فرآیند تحت نظر متخصصین دندانپزشکی اهمیت زیادی دارد.
چگونه از آسیب به مینا جلوگیری کنیم؟
برای جلوگیری از آسیب به مینا دندانها هنگام انجام بلیچینگ، رعایت نکات و دستورالعملهای خاص ضروری است. با انتخاب روش مناسب و استفاده از مواد با کیفیت، میتوان از آسیبهای جدی به دندانها جلوگیری کرد. در ادامه، راهکارهای مؤثری برای پیشگیری از آسیب به مینا دندان پس از بلیچینگ را بررسی می کنیم:
مشورت با دندانپزشک
قبل از شروع بلیچینگ دندان در مرزداران، مشورت با دندانپزشک ضروری است. دندانپزشک میتواند بهترین روش و محصولات مناسب برای بلیچینگ را بر اساس وضعیت دندانهای شما توصیه کند.
انجام بلیچینگ در مطب
انجام بلیچینگ در مطب تحت نظر دندانپزشک ماهر و با استفاده از مواد استاندارد و دستگاههای تخصصی، خطر آسیب به مینا را کاهش میدهد. دندانپزشک قادر است مدت زمان تماس مواد بلیچینگ با دندانها را کنترل کند و از آسیب به مینای دندان جلوگیری نماید.
استفاده از محصولات معتبر در خانه
اگر بلیچینگ در خانه انجام میشود، حتما از محصولات تایید شده و معتبر استفاده کنید. مواد بلیچینگ خانگی معمولاً دارای غلظت کمتری هستند که خطر آسیب به دندانها را کاهش میدهد. بهعلاوه، بهتر است از دستورالعملهای ارائه شده توسط سازندگان محصولات پیروی کنید.

علایم آسیب به مینا دندان در اثر بلیچینگ
علائم آسیب به مینا پس از بلیچینگ
بعد از انجام بلیچینگ دندان، برخی علائم ممکن است نشاندهنده آسیب موقت یا دائمی به مینای دندان باشند. مهم است که این علائم را شناسایی کنید تا در صورت نیاز، اقدامات درمانی مناسب انجام دهید. در جدول زیر، علائم مختلف آسیب به مینا دندان پس از بلیچینگ و توضیحات مربوط به هر کدام را آورده ایم:
| علامت | توضیحات |
|---|---|
| افزایش حساسیت دندانها | پس از بلیچینگ، ممکن است دندانها به مواد سرد و گرم حساستر شوند. این حساسیت معمولاً موقتی است و به مرور زمان از بین میرود. |
| خشکی و زبری دندانها | بلیچینگ میتواند باعث خشکی و زبر شدن سطح دندانها شود. این حالت معمولاً موقت است و با استفاده از خمیردندانهای حاوی فلوراید بهبود مییابد. |
| درد و ناراحتی در لثهها | در برخی موارد ممکن است لثهها پس از بلیچینگ دچار تحریک شوند. این ناراحتی معمولاً کوتاهمدت است و با روشهای خانگی ساده برطرف میشود. |
| تغییر رنگ موقت دندانها | ممکن است پس از بلیچینگ، دندانها دچار تغییر رنگ موقت شوند. این حالت معمولاً گذرا بوده و پس از مدتی برطرف میگردد. |
نتیجهگیری
آسیب به مینا دندان در فرآیند بلیچینگ دندانها اگر به درستی انجام شود، به ندرت رخ میدهد. بلیچینگ دندانها میتواند به روشنتر شدن دندانها کمک کرده و لبخندی زیبا ایجاد کند، اما برای جلوگیری از آسیبهای احتمالی به مینا، باید از مواد استاندارد و با کیفیت استفاده کرد و دستورالعملهای درمانی دقیقی را رعایت نمود. مشورت با دندانپزشک و انجام بلیچینگ تحت نظر متخصص، میتواند خطر آسیب به مینا دندانها را به حداقل برساند.





