جراحی لیفت لثه یکی از روشهای مؤثر برای بهبود ظاهر لثهها و زیبایی لبخند است. لثههای نامتقارن یا بیش از حد نمایان میتوانند تأثیر زیادی بر جذابیت لبخند و دندانها داشته باشند. این جراحی به افراد کمک میکند تا خط لثه خود را اصلاح کرده و لبخندی زیبا و متوازن داشته باشند. علاوه بر جنبه زیبایی، جراحی لیفت لثه به عنوان یک درمان مؤثر برای افرادی که از لبخند لثهای رنج میبرند، شناخته میشود و میتواند در بهبود ظاهر کلی چهره و دندانها تأثیر چشمگیری داشته باشد.
جراحی لیفت لثه چیست؟
جراحی لیفت لثه، که به آن جینیوکتومی یا جینیوپلاستی نیز گفته میشود، یک روش جراحی است که برای اصلاح شکل و اندازه لثهها انجام میشود. این جراحی معمولاً برای درمان مشکلات زیبایی لثه یا اصلاح خط لثهای که باعث نمایان شدن زیاد لثه هنگام لبخند میشود، مورد استفاده قرار میگیرد.
هدف اصلی جراحی لیفت لثه، اصلاح خط لثه و کاهش میزان نمایان شدن لثهها هنگام لبخند است. این جراحی به افرادی که لبخند لثهای دارند کمک میکند تا لبخند متعادلتری داشته باشند و از زیبایی بیشتری برخوردار شوند.
تفاوت جراحی لیفت لثه با جراحی لثه درمانی
این دو نوع جراحی اگرچه هر دو بر روی لثهها تأثیر میگذارند، اما اهداف و روشهای مختلفی دارند. برای درک بهتر، در جدول زیر تفاوتهای این دو روش را بررسی می کنیم:
| ویژگی | جراحی لیفت لثه | جراحی لثه درمانی |
|---|---|---|
| هدف اصلی | بهبود ظاهر لثهها و اصلاح خط لثه | درمان مشکلات بهداشتی و پزشکی لثه |
| مناسب برای | افراد با لبخند لثهای | بیماران مبتلا به پریودنتیت یا عفونت لثه |
| روش انجام | برش و اصلاح لثه برای زیبایی | پلاکبرداری، جراحی رفع عفونت |
| نتیجه | بهبود زیبایی لبخند | درمان بیماری و پیشگیری از پیشرفت آن |
| نوع جراحی | زیبایی و اصلاحی | درمانی و پزشکی |
دلایل انجام جراحی لیفت لثه
جراحی لیفت لثه میتواند برای اهداف زیبایی و درمانی متفاوت انجام شود. دلایل رایج برای انجام جراحی لیفت لثه عبارتند از:
- درمان لبخند لثهای: جراحی لیفت لثه به کاهش نمایان بودن لثهها هنگام لبخند کمک میکند و به افراد لبخند طبیعیتری میبخشد.
- تنظیم قرینگی خط لثه: در صورت نامتقارن بودن خط لثه، این جراحی میتواند قرینگی آن را بهبود بخشد و ظاهر لبخند را متوازن کند.
- افزایش طول تاج دندان (برای روکش یا ونیر): این جراحی برای افرادی که به درمانهای زیبایی مانند روکش یا ونیر نیاز دارند و لثهها طول تاج دندانها را پوشاندهاند، مفید است.
- درمان رشد بیش از حد لثه (به دلایل دارویی یا ژنتیکی): در صورتی که لثهها به دلایل ژنتیکی یا دارویی بیش از حد رشد کرده باشند، جراحی لیفت لثه به اصلاح این مشکل کمک میکند.

چرا باید جراحی لیفت لثه انجام داد؟
انواع روشهای جراحی لیفت لثه
برای انجام جراحی لثه در مرزداران تهران، روشهای مختلفی وجود دارد که هر یک مزایای خاص خود را دارند. انتخاب روش مناسب بستگی به نیاز بیمار و توصیه دندانپزشک دارد. در ادامه، انواع روشهای جراحی لیفت لثه را بررسی میکنیم.
جراحی سنتی با تیغ جراحی
در این روش، دندانپزشک از تیغ جراحی برای برش و برداشتن بخش اضافی لثه استفاده میکند. این روش ممکن است نیاز به بخیه داشته باشد و در برخی موارد زمان بهبودی طولانیتر باشد. با این حال، این روش معمولاً برای اصلاح مشکلات لثههای بزرگتر و نیازمند برش عمیقتر استفاده میشود.
لیفت لثه با لیزر (کمتهاجمی، دقیق، بدون بخیه)
در روش لیفت لثه با لیزر، از دستگاه لیزر برای برداشتن بخش اضافی لثه استفاده میشود. این روش کمتهاجمی است و درد کمتری نسبت به روشهای سنتی دارد. همچنین، به دلیل دقت بالای لیزر، نیازی به بخیه نیست و روند بهبودی سریعتر انجام میشود.
الکتروسرجری یا استفاده از دستگاه الکتریکی برای برش بافت
در روش الکتروسرجری، از دستگاهی که جریان الکتریکی برای برش بافت لثه تولید میکند، استفاده میشود. این روش به دلیل دقت بالا و توانایی در کنترل خونریزی، یکی از گزینههای محبوب برای جراحی لیفت لثه به حساب میآید. این روش نیز معمولاً درد کمتری دارد و زمان بهبودی سریعتری فراهم میآورد.
روند انجام جراحی
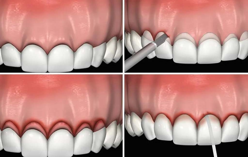
روند انجام جراحی لیفت لثه به دقت برنامهریزی شده است و هر مرحله اهمیت خاص خود را دارد. از معاینه اولیه تا مراقبتهای پس از جراحی، هر کدام نقشی حیاتی در موفقیت جراحی ایفا میکنند. در ادامه، مراحل مختلف این جراحی را به ترتیب توضیح میدهیم:
- معاینه و برنامهریزی توسط دندانپزشک: در ابتدا، دندانپزشک به دقت وضعیت لثهها و دندانها را بررسی میکند. او تاریخچه پزشکی بیمار را مرور کرده و بر اساس آن، بهترین روش جراحی را انتخاب میکند. ممکن است عکسبرداری از لثهها و دندانها انجام شود تا برنامهریزی دقیقتری برای جراحی صورت گیرد.
- استفاده از بیحسی موضعی: برای جلوگیری از هرگونه درد در طول جراحی، دندانپزشک از بیحسی موضعی استفاده میکند. این بیحسی تنها بخش لثهها را تحت تأثیر قرار میدهد و بیمار در طول جراحی هیچ درد یا ناراحتی حس نمیکند.
- برش یا برداشتن بخش اضافی لثه: پس از بیحسی، دندانپزشک اقدام به برداشتن بخش اضافی لثه میکند. این کار میتواند به شکل برش با تیغ جراحی، لیزر یا دستگاههای الکتریکی باشد، بسته به روش انتخابی.
- فرمدهی به لثه و اتمام جراحی: پس از برداشتن بافت اضافی، لثهها به شکلی که بهترین ظاهر را ایجاد کند، فرمدهی میشوند. این مرحله میتواند شامل تراشیدن یا شکلدهی دقیق لثهها باشد تا خط لثه زیبا و متقارن ایجاد شود.
- دستورالعملهای مراقبتی بعد از عمل: پس از پایان جراحی، دندانپزشک دستورالعملهای مراقبتی دقیق به بیمار میدهد. این دستورالعملها شامل نحوه مراقبت از لثهها، استفاده از داروهای ضد درد، دهانشویهها و سایر توصیهها برای جلوگیری از عفونت و تسریع روند بهبودی است.

مراحل انجام جراحی لیفت لثه و مراقبت های آن
مراقبتهای بعد از لیفت لثه
پس از انجام جراحی لیفت لثه، مراقبتهای بعد از عمل نقش مهمی در تسریع روند بهبودی و جلوگیری از عوارض احتمالی دارند. برای آشنایی بیشتر با مراقبتهای دندانی، میتوانید به راهنمای جامع مراقبت از دندانها مراجعه کنید. در جدول زیر، مراقبتهای ضروری بعد از جراحی لیفت لثه را توضیح میدهیم:
| مراقبتهای بعد از عمل | توضیحات |
|---|---|
| پرهیز از غذاهای سخت، داغ یا تند | مصرف غذاهای نرم و خنک برای جلوگیری از تحریک لثه و کمک به روند بهبودی توصیه میشود. |
| مصرف داروهای تجویزی | استفاده منظم از مسکنها و آنتیبیوتیکها طبق دستور پزشک برای کنترل درد و پیشگیری از عفونت ضروری است. |
| رعایت بهداشت دهان | مسواک زدن ملایم با مسواک نرم و استفاده از دهانشویههای آنتیسپتیک برای حفظ بهداشت و تسریع بهبودی. |
| ویزیتهای پیگیری | حضور منظم در جلسات معاینه پس از عمل برای اطمینان از روند صحیح بهبودی و پیشگیری از عوارض. |
مزایای جراحی لیفت لثه
جراحی لیفت لثه نه تنها به بهبود ظاهر لثهها و لبخند کمک میکند، بلکه میتواند تأثیرات مثبتی بر سلامت دهان و دندانها داشته باشد. در ادامه، مزایای این جراحی را بررسی خواهیم کرد:
- زیبایی بیشتر لبخند و چهره: یکی از اصلیترین مزایای جراحی لیفت لثه، بهبود ظاهر لبخند است. این جراحی باعث میشود لثهها متقارنتر و زیباتر به نظر برسند و لبخند جذابتری ایجاد شود.
- ایجاد قرینگی در لثهها: این جراحی میتواند خط لثه را منظم کرده و قرینگی لازم را بین دو طرف دهان ایجاد کند. این عمل به بهبود توازن ظاهری لبخند کمک میکند.
- آماده سازی دندانها برای درمانهای زیبایی: پس از جراحی، لثهها در موقعیت مناسبی قرار دارند که به راحتی میتوان از درمانهای زیبایی مانند روکش یا لمینت استفاده کرد. این کار باعث بهبود طول عمر درمانهای زیبایی دندان میشود.
- نتایج دائمی با مراقبت صحیح: در صورتی که بیمار مراقبتهای لازم را انجام دهد، نتایج جراحی لیفت لثه دائمی خواهد بود و به لبخند زیبا و متناسب با فرم صورت کمک خواهد کرد.
معایب یا عوارض احتمالی
جراحی لیفت لثه با مزایای زیادی همراه است، اما مانند هر جراحی دیگری، ممکن است با برخی معایب و عوارض نیز همراه باشد. این عوارض معمولاً موقتی هستند و با رعایت مراقبتهای پس از عمل کاهش مییابند.
از جمله معایب و عوارض احتمالی میتوان به حساسیت دندانها به سرما و گرما اشاره کرد که معمولاً موقتی است و به مرور زمان برطرف میشود. همچنین، ممکن است پس از جراحی تورم یا ناراحتی موقتی در ناحیه لثهها ایجاد شود که طی چند روز بهبود مییابد.
در روشهای سنتی، خونریزی مختصری ممکن است اتفاق بیفتد که قابل کنترل است. علاوه بر این، جراحی لیفت لثه نیاز به دقت بالایی دارد؛ هر گونه اشتباه در برداشتن بافت لثه میتواند باعث عدم توازن یا مشکلات در فرم لثهها شود.

هزینه جراحی لیفت لثه
هزینه جراحی لیفت لثه
هزینه جراحی لیفت لثه به عواملی مانند تعداد دندانهای درگیر، روش جراحی استفاده شده، و موقعیت جغرافیایی کلینیک بستگی دارد. در جدول زیر، هزینه ها و عوانل موثر بر آن را بررسی می کنیم:
| عامل مؤثر در هزینه | توضیحات |
|---|---|
| تعداد دندانهای درگیر | هزینه با افزایش تعداد دندانهای نیازمند درمان به صورت تصاعدی افزایش مییابد. |
| روش مورد استفاده | روشهای پیشرفته (مثل لیزر) معمولاً 30-50% گرانتر از روشهای سنتی هستند. |
| موقعیت کلینیک | کلینیکهای مرکزی شهرهای بزرگ تا 40% هزینه بیشتری نسبت به مراکز حاشیهای دارند. |
| نوع بیحسی و داروها | بیحسی عمومی تا 25% هزینهها را نسبت به بیحسی موضعی افزایش میدهد. |
| پوشش بیمه درمانی | بیمه پایه معمولاً فقط درمانهای ضروری (غیر زیبایی) را تا سقف مشخصی پوشش میدهد. |
چه کسانی کاندید مناسبی برای این جراحی هستند؟
کسانی که کاندید مناسبی برای جراحی لیفت لثه هستند معمولاً با مشکلات خاصی در خط لثه خود مواجه هستند. این مشکلات میتواند بر ظاهر لبخند و لثهها تأثیر منفی بگذارد. در ادامه، افرادی که میتوانند از این جراحی بهرهمند شوند، را بررسی می کنیم:
- افرادی با لبخند لثهای: افرادی که هنگام لبخند زدن بخش زیادی از لثههایشان نمایان میشود، میتوانند با جراحی لیفت لثه این مشکل را اصلاح کنند.
- کسانی که قصد دارند لمینت یا روکش انجام دهند: افرادی که به دنبال انجام درمانهای زیبایی دندان مانند لمینت یا روکش دندان هستند و نیاز دارند لثهها به درستی قرار گیرند.
- کسانی که لثه نامتقارن یا بیش از حد قابل مشاهده دارند: افرادی که لثههای آنها نامتقارن است یا در هنگام لبخند بخش زیادی از لثهها دیده میشود، میتوانند با این جراحی خط لثه خود را متوازن کنند.
پرسشهای متداول
1. آیا لیفت لثه درد دارد؟
جراحی با بیحسی انجام میشود و درد کمی پس از عمل وجود دارد که با داروهای مسکن قابل کنترل است.
2. نتیجه جراحی دائمی است؟
نتایج معمولاً دائمی هستند، اما تغییرات طبیعی ممکن است رخ دهد.
3. بعد از چند روز میتوان غذا خورد؟
پس از چند روز میتوان غذاهای نرم خورد. از غذاهای داغ و سفت خودداری کنید.
4. بهترین روش لیفت لثه چیست؟
بهترین روش بستگی به وضعیت بیمار دارد. پزشک روش مناسب را توصیه میکند.





